Почти 278 000 американци са се озовали в спешните отделения заради чужд обект, попаднал в тялото им, гласи статистиката на Центровете за контрол и предпазване от заболявания за 2021 г.
И съвсем не всички са секс играчки.
Зарядни, близалки, обелки от портокали и дори въдици са сред нещата, които спешните медици в САЩ са извадили от телата на сънародниците си през 2021 г., сочат данни на Комисията за безопасност на потребителските продукти.
Хората толкова често завират нещо по телата си, че чуждите обекти, попаднали в тях, са на 9-то място сред неумишлените травми, заради които пациентите отиват в спешните отделения в САЩ.
Според д-р Марк Сийгъл от медицинския център "Лангон" към университета на Ню Йорк това не е учудващо, особено като се има предвид, че повече от половината чужди обекти са секс играчки.
"Трябва обаче да се отчете и факторът, че хората без да искат мушкат по себе си различни предмети, особено в носа, ушите и устата", обяснява той пред "Фокс Нюз".
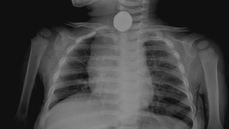
И това съвсем не е безобидно. Самият лекар е имал случай с момче на 10 години, което е било със запушени носни проходи и е изпитвало сериозна болка. Оказало се, че причината е заседнала батерия.
"За щастие, не беше протекла и успяхме да я извадим", допълва Сийгъл.

Медицинският хумор дори твърди, че специалността "Уши, нос и гърло" в педиатрията е създадена именно за вадене на предмети, попаднали на съответните места.
Чуждите предмети, попаднали в телата на хората често са обект на доста интерес и дори има различни телевизионни предавания и документални поредици, посветени на най-странните и откачени случаи.
Редакторът от сайта Defector Бари Печески пък от няколко години се рови из данните на Комисията за безопасност на потребителските продукти и публикува ежегоден списък с някои от по-интересните неща, попадали в телата на хората - според това къде са били. Данните са от доклади от спешните отделения.
В ушите на американците през 2021 г. например са откривани копче за ръкавели (което пациентът неуспешно опитал да извади с нож), мокри кърпички и в двете уши, пластмасов меч, термометър, насекомо, камък, близалка, зарядно, парче от фунийка от сладолед, гумичка за триене.
Има и в течно състояние - някой се е объркал и вместо капки за уши си е сложил лепило за обувки, друг пък си капнал восък от свещ. Има и цяла история за на жена, която си сложила слушалките, а на тях имало винена мушица. Усетила бръмчене и опитала да убие мухата с перхидрол. Озовала се в спешното заради неотшумяващо парене и дискомфорт в ухото и не била сигурна дали мухата е умряла.

В носовете на попадналите в докладите пък са се озовавали изгорели клечки кибрит, магнити, ориз, бонбони с формата на сърце, бижута, желирани червеи, обелки от портокали, LED лапмички, сирене, царевица за пукане, цветя, дизел и лепило.
Хората са глътнали с или без да искат нож за пържоли, фенерче, сим карта, играчки, монети - един от пациентите дори хвърлил три във въздуха и ги поел с уста, след което ги глътнал, цигари, алуминиево фолио (в което било увито бурито, но човекът забравил да го махне и изял всичко), шноли за коса, ключове, кучешки и котешки играчки и дори стрелички за дартс.
И, естествено, да не забравяме и нещата, попаднали в гениталиите. В мъжки пениси са откривани не само секс играчки, но и мъниста, ключ от кола, молив, нокът, верижка от вентилатор за таван (била там от предната вечер, когато си взел душ), зарядно за телефон, парче сапун и дървена лъжица.
При жените това са монети, винт, молив, острилка за моливи, палка за барабан, фенерче, чаша, топка за голф, шишенце от лак за нокти, парфюмиран и непарфюмиран сапун, диспенсър за сапун и дори шпатула.
Ректумът също предоставя редица възможности и на тези места са откривани доста предмети - лъжици, пластмасова играчка с формата на риба, бутилки - за вода, бира, парфюм и от лосион; пастели, гаечни ключове, белачка за зеленчуци, свещи, фунийка за сладолед, парче от лампа, четка за тоалетна, лъжица, билярдна топка и въдица.
Особено вълнуващи са и кратките описания при част от инцидентите. "Пациентът се оплаква от болка в областта на ректума. Признава, че е вкарал там секс играчки преди 6 месеца", "Пациентът твърди, че има голяма играчка, заседнала в ректума, и че е паднал върху нея", "Пациентът казва, че си е играл с флакон спрей за крака и той случайно се озовал в ректума му", а също и лаконичното обяснение за "два жетона за покер заради бас".
Изследване, публикувано в American Journal of Emergency Medicine през лятото, гласи, че почти 4000 души в САЩ биват хоспитализирани годишно заради предмети, заседнали в задните им части.
А авторът на проучването из данните от спешните отделения Бари Печински отбелязва, че то е "в знак на почит към американската изобретателност, упоритост и преди всичко, на американското безразсъдство".